Implantes nasopalatinos en Valencia

Los implantes nasopalatinos son una técnica quirúrgica que permite colocar prótesis fijas en pacientes con gran pérdida ósea en el maxilar superior, evitando injertos complejos. Esta solución se basa en aprovechar el hueso denso del canal nasopalatino, incluso cuando otras zonas han sufrido atrofia severa.

Los Dres. Miguel y David Peñarrocha, referentes en implantología avanzada, han aplicado esta técnica con éxito en numerosos pacientes, priorizando siempre la estabilidad y la funcionalidad. Sigue leyendo para descubrir cuándo está indicada, cómo se realiza y qué beneficios aporta.

Contacte con nosotros

A través de este formulario, podrá ponerse en contacto con nosotros.
¿En qué podemos ayudarle?

Nombre
cajita check
Tratamientos

¿Qué es un implante nasopalatino?

Un implante nasopalatino se coloca en la zona del canal nasopalatino, aprovechando su densidad ósea. Es una zona estable, que resiste la reabsorción incluso en atrofias extremas (grado VI).

Esta técnica está indicada cuando el maxilar superior ha perdido gran parte de su hueso, y se desea evitar injertos o cirugías más invasivas. Los Dres. Peñarrocha la incluyen dentro del abordaje de «implantes en arbotantes anatómicos», descrito en su obra Implantes en grandes atrofias.

Implantes nasopalatinos proceso

¿Cuándo están indicados los implantes nasopalatinos?

Implantes nasopalatinos indicacion

Los casos más frecuentes donde se recomienda este tratamiento son:

  • Maxilares superiores con atrofia severa o extrema.
  • Edéntulos totales con muy poco hueso remanente.
  • Pacientes que no desean o no pueden someterse a injertos óseos.
  • Rehabilitaciones completas en las que se busca soporte posterior adicional.

Gracias a la planificación digital y a un conocimiento preciso de la anatomía, esta técnica permite colocar implantes con una excelente fijación inicial, incluso cuando las opciones parecen limitadas.

Beneficios de los implantes nasopalatinos

Esta técnica aporta ventajas significativas frente a otras soluciones quirúrgicas:

  • Permite colocar implantes sin necesidad de injertos.
  • Aprovecha el hueso denso disponible en el canal nasopalatino.
  • Reduce el tiempo de tratamiento y facilita la carga inmediata.
  • Favorece la rehabilitación fija en pacientes con atrofias severas.

Puede combinarse con implantes palatinizados, cigomáticos o pterigoideos.

¿Cómo se realiza el procedimiento?

El tratamiento sigue un protocolo riguroso:

  1. Diagnóstico con TAC 3D para evaluar la zona nasopalatina.
  2. Planificación digital de los implantes y diseño de la prótesis.
  3. Colocación del implante en el canal nasopalatino, guiado por cirugía digital.
  4. Si hay estabilidad suficiente, se puede colocar una prótesis provisional inmediata.
  5. Tras la osteointegración, se coloca la prótesis definitiva.

La intervención se realiza con anestesia local y, si el paciente lo desea, con sedación endovenosa para mayor confort.

EXPERIENCIA

Cuidados tras la cirugía

cuidados implantes nasopalatinos

Para garantizar una buena cicatrización y estabilidad del implante, se recomienda:

  • Mantener una higiene oral adecuada con colutorios de clorhexidina.
  • Evitar traumatismos en la zona intervenida.
  • Seguir una dieta blanda durante la primera semana.
  • Acudir a las revisiones postoperatorias.

Contraindicaciones y riesgos

Aunque es una técnica segura, existen limitaciones:

Contraindicaciones:

  • Pacientes con enfermedades sistémicas no controladas.
  • Volumen óseo insuficiente incluso en la zona nasopalatina.
  • Canal nasopalatino muy amplio o alterado.

Posibles riesgos:

  • Parestesias del nervio nasopalatino (habitualmente transitorias).
  • Inestabilidad inicial si no hay hueso suficiente.
  • Reabsorción ósea si no se protege bien la zona.
  •  

Una evaluación cuidadosa por parte de un especialista es esencial.

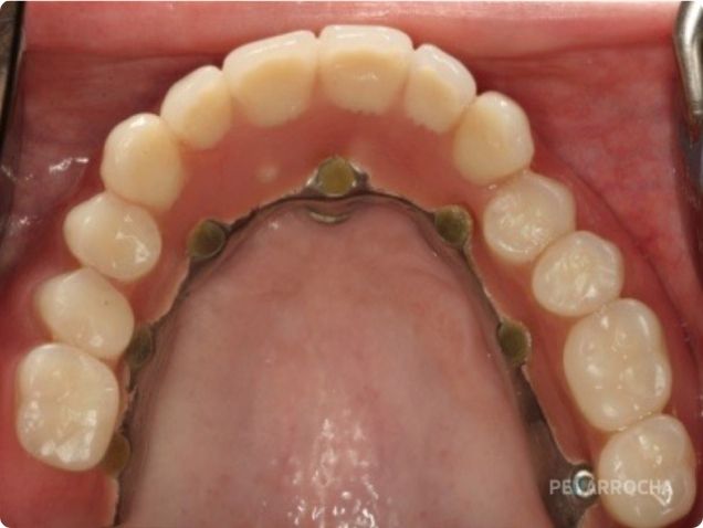
Implantes nasopalatinos ejemplo

Siempre que sea viable, el implante nasopalatino puede evitar el injerto óseo, acortando tiempos y mejorando el confort del paciente.

¿Injerto o implante nasopalatino?

Comparativa entre ambas opciones:

Criterio Injerto óseo Implante nasopalatino
Complejidad quirúrgica Alta Moderada
Tiempo de tratamiento Más largo Más corto
Coste Mayor Menor
Estabilidad inicial Retardada Inmediata
Rehabilitación fija rápida No siempre posible Sí, en muchos casos
proceso clinica 3 cirugia periapical en Valencia

Experiencia de los Dres. Peñarrocha

Los Dres. Miguel y David Peñarrocha han sido pioneros en la colocación de implantes en zonas anatómicas complejas. Su libro Implantes en grandes atrofias recoge protocolos detallados sobre el uso de implantes nasopalatinos y otros tratamientos en pacientes con reabsorción ósea severa.

Preguntas frecuentes

 No. Se realiza con anestesia local. Puede complementarse con sedación para mayor confort.

Depende del caso, pero puede oscilar entre 2 y 6 meses. Con carga inmediata, se colocan dientes fijos desde el primer día.

Sí, si se realiza por un cirujano con experiencia en implantología en arbotantes anatómicos.

En 24-48 horas podrás retomar tus actividades habituales.

En IDIM, con los Dres. Peñarrocha, especialistas en implantología avanzada.

NUESTRA EXPERIENCIA

Además, han publicado estudios y colaborado en libros como:

  • THE NASOPALATINE CANAL AS AN ANATOMICAL BUTTRESS TO IMPLANT PLACEMENT IN THE SEVERELY ATROPHIC MAXILLA. A PILOT STUDY. 2009 Peñarrocha M, Carrillo C, Uribe R, García B.
  • REHABILITATION OF REABSORBED MAXILLAE WITH IMPLANTS IN BUTTRESSES IN PATIENTS WITH COMBINATION SYNDROME: CASE SERIES REPORT. 2012 Peñarrocha MA, Viña JA, Carrillo C, Peñarrocha D, Peñarrocha M.
  • IMPLANTS PLACED IN THE NASOPALATINE CANAL TO REHABILITATE SEVERELY ATROPHIC MAXILLAE: A RETROSPECTIVE STUDY WITH LONG FOLLOW-UP. 2014
    Peñarrocha D, Candel E, Calvo-Guirado JL, Canullo L, Peñarrocha M

Consulta con los Dres. Peñarrocha

En la clínica IDIM, dirigida por los Dres. Peñarrocha, te ofrecemos una valoración personalizada y soluciones seguras para atrofias óseas severas. Apostamos por técnicas innovadoras como los implantes nasopalatinos, priorizando la función, la estética y la calidad de vida.

Solicita tu cita y descubre si esta técnica es adecuada para ti.

Para pedir cita pacientes

963 344 675

Para pedir información referidos

686 975 235
Scroll al inicio
logo clinica
Resumen de privacidad

Esta web utiliza cookies para que podamos ofrecerte la mejor experiencia de usuario posible. La información de las cookies se almacena en tu navegador y realiza funciones tales como reconocerte cuando vuelves a nuestra web o ayudar a nuestro equipo a comprender qué secciones de la web encuentras más interesantes y útiles.

Más información en nuestra Política de Privacidad.