Cirugía periapical en Valencia
La cirugía periapical es una técnica quirúrgica eficaz que permite tratar infecciones persistentes en la raíz de un diente sin necesidad de extraerlo. Este enfoque conservador se utiliza cuando tratamientos previos, como la endodoncia, no han logrado eliminar completamente la infección.
Los Dres. Miguel y David Peñarrocha, referentes en cirugía bucal, han aplicado esta técnica con éxito en numerosos pacientes, priorizando siempre la preservación de los dientes naturales. Sigue leyendo para descubrir cuándo está indicada, cómo se realiza y qué beneficios aporta.
¿Buscas un tratamiento de cirugía periapical en Valencia?
Contacte con nosotros
A través de este formulario, podrá ponerse en contacto con nosotros.
¿En qué podemos ayudarle?
¿Qué es la cirugía periapical?
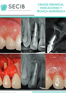
La cirugía periapical, también conocida como apicectomía, consiste en eliminar el tejido inflamado o infectado que rodea el ápice (extremo) de la raíz de un diente. Es una intervención precisa que permite conservar piezas dentales que de otro modo serían extraídas.
Se recurre a esta técnica cuando persiste una infección tras una endodoncia, o cuando hay quistes, granulomas, perforaciones o fracturas radiculares que no pueden tratarse por vía convencional.
¿Cuándo está indicada la cirugía periapical?
La indicación principal para una cirugía dental conservadora es la persistencia de una lesión periapical tras un tratamiento de conductos. También se recomienda en los siguientes casos:
- Infecciones crónicas o recurrentes.
- Quistes o granulomas periapicales.
- Perforaciones o fracturas en la raíz.
- Acceso radicular limitado.
- Dientes con material obturador extruido que impide una nueva endodoncia.
En todos estos escenarios, la cirugía permite acceder directamente a la zona afectada, eliminando el foco infeccioso y preservando la función del diente.
Beneficios de la cirugía periapical
La cirugía periapical aporta ventajas importantes frente a la extracción y posterior colocación de implantes:
- Preserva el diente natural, manteniendo la estética y función.
- Elimina la infección de forma directa y eficaz.
- Reduce la inflamación y el dolor persistente.
- Conserva el hueso alveolar, clave para la estabilidad de la arcada dental.
- Evita tratamientos más invasivos, como los implantes, cuando el diente aún puede salvarse.
¿Cómo se realiza una apicectomía?
Nuestro tratamiento de apicectomía en Valencia sigue una secuencia precisa, basada en la evidencia científica:
- Anestesia local para una cirugía sin dolor.
- Incisión y acceso óseo a la zona periapical.
- Limpieza quirúrgica del tejido inflamado o infectado.
- Resección del ápice radicular.
- Sellado retrógrado del conducto con materiales biocompatibles.
- Sutura y control postoperatorio.
Gracias a la experiencia del equipo quirúrgico y a técnicas mínimamente invasivas, la recuperación suele ser rápida y con pocas molestias.
Cuidados tras una cirugía periapical
Para asegurar una correcta cicatrización y evitar complicaciones, se deben seguir estas pautas después de una cirugía periapical:
- Higiene rigurosa con enjuagues de clorhexidina.
- Evitar tocar o movilizar la zona intervenida.
- Dieta blanda durante al menos dos semanas.
- Reposo relativo los primeros días.
- Analgésicos según indicación del especialista.
El seguimiento por parte del equipo clínico garantiza una evolución favorable y resultados duraderos.
Contraindicaciones y riesgos de la apicectomía
Aunque es una técnica segura, hay situaciones que requieren especial precaución ante una cirugía periapical:
Contraindicaciones:
Patologías sistémicas descompensadas (diabetes, hipertensión). Inmunosupresión grave. Infecciones activas extensas. Falta de acceso quirúrgico o hueso insuficiente.
Riesgos potenciales:
Molestias postoperatorias leves. Recidiva de la infección en casos avanzados. Daño a estructuras adyacentes (nervios, senos paranasales).
La valoración previa del caso por un cirujano cualificado es clave para minimizar riesgos y optimizar el resultado.
Experiencia de los Dres. Peñarrocha en cirugía periapical en Valencia
Los Dres. Miguel Peñarrocha Diago (Catedrático) y David Peñarrocha Oltra (Profesor Titular), han liderado estudios clínicos y publicaciones científicas sobre cirugía periapical. Su experiencia ha contribuido a desarrollar protocolos que mejoran el pronóstico de estos tratamientos. Han participado en la elaboración de guías clínicas y manuales de referencia nacional, garantizando un abordaje riguroso, seguro y actualizado para cada paciente.
Preguntas frecuentes sobre cirugía periapical
¿Duele la cirugía periapical?
No, se realiza con anestesia local. Las molestias posteriores son leves y se controlan fácilmente con medicación.
¿Cuánto dura la intervención?
Entre 30 y 90 minutos, dependiendo del caso.
¿Cuándo podré hacer vida normal?
En la mayoría de los casos, en 24-48 horas se retoman las actividades cotidianas.
¿Es efectiva a largo plazo?
Sí. Con el protocolo adecuado, tiene una tasa de éxito elevada.
¿Qué pasa si no se trata una infección periapical?
Puede evolucionar a abscesos, pérdida ósea e incluso afectaciones sistémicas.
¿Cuánto cuesta una cirugía periapical en Valencia?
El coste de una cirugía periapical en Valencia puede variar según las necesidades de cada paciente. En nuestra clínica, los Dres. Peñarrocha valoramos cada caso con detalle y ofrecemos un presupuesto personalizado después del diagnóstico.
Descubre nuestras publicaciones
Incidence des kystes radiculares dans une série de 125 lésions périapicales chroniques Sanchís JM, Peñarrocha M, Bagán JV, Guarinos J, Vera F. Incidence des kystes radiculares dans une série de 125 lésions périapicales chroniques. Rev Stomatol Chir Maxillofac 1997;98:354-8. Pubmed PDF
Dirección de tesis doctorales
- Eva Virginia Martí Bowen. “Estudio clínico evolutivo tras cirugía periapical de 333 dientes, con ultrasonidos y obturación retrograda con amalgama de plata”. Universidad de Valencia, Facultad de Medicina y Odontología. Año 2005. Calificación: “Sobresaliente cum laude”.
- Berta García Mira. “Estudio del postoperatorio tras cirugía periapical, con ultrasonidos y obturación retrograda con amalgama de plata”. Universidad de Valencia, Facultad de Medicina y Odontología. Año 2006. Calificación: “Sobresaliente cum laude”.
- Celia Carrillo García. Estudio anatomopatológico de 178 lesiones periapicales inflamatorias crónicas obtenidas tras cirugía periapical. Relación con la sintomatología prequirúrgica, la imagen radiológica y la evolución. Universidad de Valencia, Facultad de Medicina y Odontología. Año 2012. Calificación: “Excelente-cum laude”.
Dirección de trabajos de investigación
- Eva Virginia Martí Bowen. “Cirugía periapical con técnica de ultrasonidos y obturación retrograda con amalgama de plata. Estudio de 100 casos”. Universidad de Valencia, Año 2003. Calificación: Sobresaliente.
- Berta García Mira. “Estudio del dolor y la inflamación tras cirugía periapical en 60 pacientes”. Universidad de Valencia, Facultad de Medicina y Odontología, Año 2004. Calificación: Sobresaliente.
- Celia Carrillo García. “Estudio anatomopatológico de las lesiones obtenidas tras cirugía periapical: relación con las alteraciones radiográficas y la evolución”. Universidad de Valencia, Facultad de Medicina y Odontología. Año 2007. Calificación: Sobresaliente.
- Bárbara Ortega Sánchez. “Estudio radiológico morfométrico de 37 lesiones periapicales en 30 pacientes. Validación de los criterios de éxito”. Universidad de Valencia, Facultad de Medicina y Odontología. Año 2007. Calificación: Sobresaliente.
- Patricia Zubeldia Masset. Uso del endoscopio en cirugía periapical y su influencia en el pronóstico. Revisión bibliográfica. Universidad de Valencia, Facultad de Medicina y Odontología. Año 2012.
Libros
- Peñarrocha M, ed. Cirugía Bucal. Valencia: Promolibro; 2000. (ISBN: 84-7986-352-8).
- Peñarrocha M, ed. Cirugía Periapical. Barcelona: Ars Médica; 2004. (ISBN 84-9751-030-5).
- Peñarrocha MA, Peñarrocha M, ed. Atlas de Cirugía Periapical. Valencia: Medicina Oral, S.L., Valencia 2012. (ISBN: 978-84-615-2319-1).
A. Referidos en el “Journal Citation Reports” (JCR)
- Peñarrocha M, García-Mira B, Martí-Bowen E. Pain and inflammation following periapical surgery in 60 patients. J Oral Maxillofac Surg 2006;64:429-33.
- Peñarrocha M, Martí E, García B, Gay C. Relationship of periapical lesion radiological size, apical resection and retrograde, filling, with the prognosis of periapical surgery. J Oral Maxillofac Surg 2007;65:1526-9.
- Carrillo C, Peñarrocha M, Bagán JV, Vera F. Relationship between histological diagnosis and evolution at 12 months, of 70 periapical lesions treated by periapical surgery. J Oral Maxillofac Surg 2008;66(8):1606-9.
- Carrillo C, Peñarrocha M, Ortega B, Martí E, Bagán JV, Vera FJ. Correlation of radiographic and histological study of 73 chronic inflamatory periapical lesions. J Oral Maxillofac Surg 2008;66(8):1600-5.
- García B, Peñarrocha M, Martí E, Martínez JM, Gay-Escoda C. Periapical surgery in maxillary premolars and molars. Análisis in terms of the distance between the lesion and the maxillary sinus. J Oral Maxillofac Surg 2008;66:1212-17.
- Martí E, Peñarrocha M, García B, Martínez JM, Gay-Escoda C. Distance between periapical lesion and mandibular canal as a factor in periapical surgery in mandibular molars. J Oral Maxillofac Surg 2008;66(12):2461-6.
- Peñarrocha M, Ortega B, García B, Martí E, von Arx T, Gay C. Evaluation of healing criteria for success after periapical surgery. Med Oral Patol Oral Cir Bucal. 2008;13(2):e143-7.
- García B, Larrazabal C, Peñarrocha MA, Peñarrocha M. Pain and swelling periapical surgery. A literatura update. Med Oral Patol Oral Cir Bucal 2008; 13(11):e726-9
- Peñarrocha M, Boronat A, García B. Inflammatory implants periapical lesión: etiology, diagnosis, and treatment-presentation of 7 cases. J Oral Maxillofac Surg 2009;67:168-73.
- Ortega B, Peñarrocha M, Rubio L, Vera F. Radiographic Morphometric study of 37 periapical lesions in 30 patients. Validation of success criteria. J Oral Maxillofac Surg 2009;67:846-9.
- Carrillo C, Peñarrocha M, García B, Bagán JV, Vera F. Expresión of cytokeratins in epithelized periapical lesions. Oral Surg Oral Med Oral Pathol Oral Radiol Endod 2009;107(4):e43-6.
- García B, Peñarrocha M, Peñarrocha MA, von Arx T. Apical surgery of a maxillary molar creating a maxillary sinus window using ultrasonics. A clinical case. Int Endod J 2010;43:1054-61.
- von Arx T, Peñarrocha M, Jensen S. Prognostic factors in apical surgery with root-end filling: a meta-analysis. I J Endod 2010;36(6):957-73.
- Garcia B, Ortega B, Peñarrocha M, Peñarrocha MA. Ostectomy versus osteotomy with repositioning of the vestibular cortical in periapical surgery of mandibular molars: A preliminary study. Med Oral Patol Oral Ciru Bucal 2010;15(4):e628-32.
- Carrillo C, Peñarrocha M, Peñarrocha MA, Vera F, Peñarrocha D. Immuno histocheminal study of Langerhans cells in periapical lesions; correlation with inflammatory cell infiltration and epithelial cell proliferation. Med Oral Patol Oral Ciru Bucal 2010;15(2):e335-9.
- Peñarrocha MA, Carrillo C, Peñarrocha M, Peñarrocha D, von Arx, Vera F. Symptoms before periapical surgery related to histologic diagnosis and postoperative healing at 12 months for 178 periapical lesions. J Oral Maxillofac Surg 2011;69(6):e31-7.
- Peñarrocha MA, Maestre L, Peñarrocha D, Gay C, von-Arx T, Peñarrocha M. Pain and swelling after periapical surgery related to the hemostatic agent used: Anesthetic solution with vasoconstrictor or aluminum chloride. Med Oral Patol Oral Cir Bucal. 2012;17(4):e594-600.
- Penarrocha M, Maestre L, Penarrocha D, Canullo L, Piattelli A, Penarrocha M. Inflammatory implant periapical lesion prior to osseointegration: a case series study. Int J Oral Maxillofac Implants. 2013;28(1):158-62.
- Peñarrocha MA, Maestre L, Peñarrocha D, von Arx T, Peñarrocha M. Influence of hemostatic agents upon the outcome of periapical surgery: Dressings with anesthetic and vasoconstrictor or aluminum chloride. Med Oral Patol Oral Cir Bucal. 2013;18(2):e272-8.
- Peñarrocha-Diago M, Maestre-Ferrín L, Peñarrocha-Oltra D, von Arx T, Peñarrocha-Diago M. Influence of hemostatic agents upon the outcome of periapical surgery: dressings with anesthetic and vasoconstrictor or aluminum chloride. Med Oral Patol Oral Cir Bucal. 2013 Mar 1;18(2):e272-8.
B. Artículos citados por la National Library of Medicine (PubMed).
- Sanchís JM, Peñarrocha M, Bagán JV, Guarinos J, Vera F. Incidence des kystes radiculares dans une série de 125 lésions périapicales chroniques. Rev Stomatol Chir Maxillofac 1997;98:354-8.
- Silvestre J, Verdú MJ, Sanchís JM, Grau D, Peñarrocha M. Efectos de los vasoconstrictores usados en Odontología sobre la presión arterial sistólica y diastólica. Med Oral 2001;6:57-63.
- Peñarrocha M, Sanchís JM, Gay-Escoda C. Cirugía periapical en 31 molares inferiores mediante la técnica de ultrasonidos y relleno retrógrado con amalgama de plata. Med Oral 2001;6:376-82.
- Martí-Bowen E, Peñarrocha M, García-Mira B. Cirugía periapical con técnica de ultrasonidos y obturación retrógrada con amalgama de plata. Estudio en 71 dientes con 100 conductos. Med Oral Patol Oral Cir Bucal 2005;10:67-73.
- García B, Martorell L, Martí E, Peñarrocha M. Cirugía periapical en dientes posteriores maxilares. Revisión de la bibliografía. Med Oral Patol Oral Cir Bucal 2006;1;11:e146-50.
- Martí-Bowen E, Peñarrocha M. An update in periapical surgery. Med Oral Patol Oral Cir Bucal 2006;11:e503-9.
- Peñarrocha M, Boronat A, Lamas J. Update in dental implant periapical surgery. Med Oral Patol Oral Cir Bucal 2006;11:e305-8.
- Carrillo C, Vera F, Peñarrocha M, Martí E, Bagán JV. The post-endodontic periapical lesion Histologic and etiopathogenic aspects. Med Oral Patol Oral Cir Bucal 2007;12(8):e585-90.
- Maestre-Ferrín L, Peñarrocha-Diago M. Hemostatic agents used in apical surgery: a review. Dental considerations in patients with respiratory problems. J Clin Exp Dent. 2011;3(4):e310-3.
- Peñarrocha MA, Maestre L, Peñarrocha D, Von Arx T, Peñarrocha M. Is the hemostatic agent used in periradicular surgery a predictor of healing outcome?. J Clin Exp Dent 2011;
C. Artículos no indexados en bases de datos internacionales.
Peñarrocha M, Sanchis JM, Gay-Escoda C. Cirugía periapical con técnica de ultrasonidos y relleno con amalgama de plata. A propósito de 122 casos. Rev Eur Odontoestomatología 2001;4:181-8.
D. Revisiones no indexadas en bases de datos internacionales.
Gregori R, Peñarrocha M, Lloria E, Guarinos J. Materiales de obturación a retro en cirugía periapical: meta-análisis. Rev Act Odontoestomatol Esp 1995;55:17-33.
Peñarrocha M, Sanchis JM, Diago JV, Gay C. Técnica de osteotomía «en ventana» en la cirugía periapical de molares inferiores. Arch Odontoestomatol 2000;16:221-5.
Protocolos en Cirugía Bucal:
- Peñarrocha M. Protocolo en Cirugía Endodóntica. Sociedad Española de Cirugía Bucal. 2001; 61-6 (Revisión en 2005: Protocolo en Cirugía Periapical. Protocolos y Guías de Práctica Clínica en Cirugía Bucal. Secib On-Line, 2005; 30-4).
- Blaya-Tárraga JA, Cervera-Ballester J, Peñarrocha-Oltra D, Peñarrocha-Diago M. Periapical implant lesion: A systematic review. Med Oral Patol Oral Cir Bucal. 2017 Nov 1;22(6):e737-e749.
- Pallarés-Serrano A, Glera-Suarez P, Soto-Peñaloza D, Peñarrocha-Oltra D, von Arx T, Peñarrocha-Diago M. The use of the endoscope in endodontic surgery: A systematic review. J Clin Exp Dent. 2020 Oct 1;12(10):e972-e978.
- Peñarrocha-Diago M, Peñarrocha-Diago M, Blaya-Tárraga JA. State of the art and clinical recommendations in periapical implant lesions. 9th Mozo-Grau Ticare Conference in Quintanilla, Spain. J Clin Exp Dent. 2017 Mar 1;9(3):e471-e473.
- Ramis-Alario A, Soto-Peñaloza D, Tarazona-Alvarez B, Peñarrocha-Diago M, Peñarrocha-Oltra D. Comparison of the diagnostic efficacy of 2D radiography and cone beam computed tomography in persistent apical periodontal disease: A PRISMA-DTA systematic review and meta-analysis. Oral Surg Oral Med Oral Pathol Oral Radiol. 2021 Oct;132(4):e153-e168.
- Attar-Attar L, Bernabeu-Mira JC, Cervera-Ballester J, Peñarrocha-Diago M, Peñarrocha-Diago M. Systematic review of surgical regenerative treatment for apicomarginal lesions in periapical surgery. Med Oral Patol Oral Cir Bucal. 2024 May 1;29(3):e416-e422.
- Glera-Suárez P, Pallarés-Serrano A, Soto-Peñaloza D, Tarazona-Álvarez B, Peñarrocha-Diago M, Peñarrocha-Oltra D. Endoscopic findings in periapical surgery. A cross-sectional study of 206 roots. Med Oral Patol Oral Cir Bucal. 2022 Jul 1;27(4):e375-e382.
- Glera-Suárez P, Pallarés-Serrano A, Penarrocha-Oltra D, Penarrocha-Diago M, Penarrocha-Diago M. Is Healing of Periapical Surgery Influenced by Endoscopic Findings Detected on the Cut Root Surface? J Oral Maxillofac Surg. 2022 May;80(5):902-912.
- Pallarés-Serrano A, Glera-Suarez P, Tarazona-Alvarez B, Peñarrocha-Oltra D, Peñarrocha-Diago M, Peñarrocha-Diago M. Healing of 295 Endodontic Microsurgery Cases After Long-Term (5-9 Years) Versus Middle-Term (1-4 Years) Follow-up. J Endod. 2022 Jun;48(6):714-721.
- Peñarrocha-Oltra D, Pallarés-Serrano A, Glera-Suarez P, Soto-Peñaloza D, Peñarrocha-Diago M. Treatment of apicomarginal defect with periapical surgery: A case report. J Clin Exp Dent. 2020 Nov 1;12(11):e1091-e1095.
- Peñarrocha-Oltra D, Menéndez-Nieto I, Cervera-Ballester J, Maestre-Ferrín L, Peñarrocha-Diago M, Peñarrocha-Diago M. Aluminum Chloride versus Electrocauterization in Periapical Surgery: A Randomized Controlled Trial. J Endod. 2019 Feb;45(2):89-93.
- Ramis-Alario A, Tarazona-Álvarez B, Peñarrocha-Diago M, Soto-Peñaloza D, Peñarrocha-Diago M, Peñarrocha-Oltra D. The study of bone healing after endodontic microsurgery using cone beam computed tomography: A retrospective cohort study. J Clin Exp Dent. 2022 Aug 1;14(8):e652-e660.
- Ramis-Alario A, Tarazona-Álvarez B, Peñarrocha-Diago M, Soto-Peñaloza D, Peñarrocha-Diago M, Peñarrocha-Oltra D. Is periapical surgery follow-up with only two-dimensional radiographs reliable? A retrospective cohort type sensitivity study. Med Oral Patol Oral Cir Bucal. 2021 Nov 1;26(6):e711-e718.
- Glera-Suárez P, Pallarés-Serrano A, Soto-Peñaloza D, Tarazona-Alvarez B, Penarrocha-Diago M, Penarrocha-Oltra D. Influence of root width and dentin wall thickness evaluated by endoscopy upon the outcome of periapical surgery. A cohort study. Med Oral Patol Oral Cir Bucal. 2022 Jul 1;27(4):e383-e391.
- Peñarrocha-Oltra D, Blaya-Tárraga JA, Menéndez-Nieto I, Peñarrocha-Diago M, Peñarrocha-Diago M. Factors associated with early apical peri-implantitis: A retrospective study covering a 20-year period. Int J Oral Implantol (Berl). 2020;13(1):65-73.
- Pallarés-Serrano A, Glera-Suarez P, Tarazona-Alvarez B, Peñarrocha-Diago M, Peñarrocha-Diago M, Peñarrocha-Oltra D. Prognostic Factors after Endodontic Microsurgery: A Retrospective Study of 111 Cases with 5 to 9 Years of Follow-up. J Endod. 2021 Mar;47(3):397-403.
- Sanz-Zornoza V, Bernabeu-Mira JC, Soto-Peñaloza D, Peñarrocha-Oltra D, Peñarrocha-Diago M. Ultrasonic osteotomy and regeneration with A-PRF+ for periapical surgery of a mandibular molar with root cyst perforating the lingual osseous cortex: A case report. J Clin Exp Dent. 2023 Sep 1;15(9):e791-e795.
- Penarrocha-Diago M, Maestre-Ferrín L, Penarrocha-Oltra D, Canullo L, Piattelli A, Penarrocha-Diago M. Inflammatory implant periapical lesion prior to osseointegration: a case series study. Int J Oral Maxillofac Implants. 2013 Jan-Feb;28(1):158-62.
- Menéndez-Nieto I, Cervera-Ballester J, Maestre-Ferrín L, Blaya-Tárraga JA, Peñarrocha-Oltra D, Peñarrocha-Diago M. Hemostatic Agents in Periapical Surgery: A Randomized Study of Gauze Impregnated in Epinephrine versus Aluminum Chloride. J Endod. 2016 Nov;42(11):1583-1587.
- Peñarrocha-Oltra D, Soto-Peñaloza D, Peñarrocha-Diago M, Cervera-Ballester J, Cabanes-Gumbau G, Peñarrocha-Diago M. Hemostatic agents in endodontic surgery of maxillary molars: A randomized controlled pilot study of polytetrafluoroethylene (PTFE) strips as an adjunct to epinephrine impregnated gauze versus aluminum chloride. Med Oral Patol Oral Cir Bucal. 2020 Sep 1;25(5):e634-e643.
- Boronat-López A, Bernabeu-Mira JC, Peñarrocha-Diago M, Peñarrocha-Diago M, Peñarrocha-Oltra D. Dimensional changes in buccal cortical bone and lesion volume in teeth with persistent chronic periapical disease subjected to periapical surgery: a cone beam computed tomography study at one year of follow-up. Med Oral Patol Oral Cir Bucal. 2025 May 1;30(3):e469-e475.
- Peñarrocha-Diago MA, Blaya-Tárraga JA, Menéndez-Nieto I, Peñarrocha-Diago M, Peñarrocha-Oltra D. Implant survival after surgical treatment of early apical peri-implantitis: An ambispective cohort study covering a 20-year period. Int J Oral Implantol (Berl). 2020;13(2):161-170.
- Menéndez-Nieto I, Peñarrocha-Diago M, Cervera-Ballester J, Peñarrocha-Diago M, Peñarrocha-Oltra D. Efficacy of infiltrative local anesthesia and inferior alveolar nerve block in periapical surgery of lower premolars and molars: A preliminary report. J Clin Exp Dent. 2020 Jun 1;12(6):e581-e587.
- Soto-Peñaloza D, Peñarrocha-Diago M, Cervera-Ballester J, Peñarrocha-Diago M, Tarazona-Alvarez B, Peñarrocha-Oltra D. Pain and quality of life after endodontic surgery with or without advanced platelet-rich fibrin membrane application: a randomized clinical trial. Clin Oral Investig. 2020 May;24(5):1727-1738.
- Peñarrocha-Oltra D, Soto-Peñaloza D, Peñarrocha-Diago M, Cervera-Ballester J, von Arx T Dr med dent, Peñarrocha-Diago M. Hemostatic Agents in Endodontic Surgery: A Randomized Controlled Pilot Study of Polytetrafluoroethylene Strips as an Adjunct to Epinephrine Impregnated Gauze Versus Aluminum Chloride. J Endod. 2019 Aug;45(8):970-976.
- Glera-Suarez P, Serra-Pastor B, Peñarrocha-Oltra D, Peñarrocha-Diago M, Gay-Escoda C. Periapical Microsurgery with an Endoscope and Microscope of Two Upper Central Incisors Already Subjected to Periapical Surgery 25 Years Ago. Case Rep Dent. 2020 Dec 1;2020:8885568.
- Peñarrocha-Diago M, Maestre-Ferrín L, Peñarrocha-Oltra D, Gay-Escoda C, von-Arx T, Peñarrocha-Diago M. Pain and swelling after periapical surgery related to the hemostatic agent used: anesthetic solution with vasoconstrictor or aluminum chloride. Med Oral Patol Oral Cir Bucal. 2012 Jul 1;17(4):e594-600.
- Peñarrocha-Diago M, Menéndez-Nieto I, Cervera-Ballester J, Maestre-Ferrín L, Blaya-Tárraga JA, Peñarrocha-Oltra D. Influence of Hemostatic Agents in the Prognosis of Periapical Surgery: A Randomized Study of Epinephrine versus Aluminum Chloride. J Endod. 2018 Aug;44(8):1205-1209.
- Penarrocha Diago M, Sanchis Bielsa JM, Gay Escoda C. Periapical surgery of 31 lower molars based on the ultrasound technique and retrograde filling with silver amalgam. Med Oral. 2001 Nov-Dec;6(5):376-82.
- Ramis-Alario A, Tarazona-Alvarez B, Cervera-Ballester J, Soto-Peñaloza D, Peñarrocha-Diago M, Peñarrocha-Oltra D, Peñarrocha-Diago M. Comparison of diagnostic accuracy between periapical and panoramic radiographs and cone beam computed tomography in measuring the periapical area of teeth scheduled for periapical surgery. A cross-sectional study. J Clin Exp Dent. 2019 Aug 1;11(8):e732-e738.
- Peñarrocha-Diago MA, Ortega-Sánchez B, García-Mira B, Maestre-Ferrín L, Peñarrocha-Oltra D, Gay-Escoda C. A prospective clinical study of polycarboxylate cement in periapical surgery. Med Oral Patol Oral Cir Bucal. 2012 Mar 1;17(2):e276-80.
- Ortega-Sánchez B, Peñarrocha-Diago M, Rubio-Martínez LA, Vera-Sempere JF. Radiographic morphometric study of 37 periapical lesions in 30 patients: validation of success criteria. J Oral Maxillofac Surg. 2009 Apr;67(4):846-9.
- García-Mira B, Ortega-Sánchez B, Peñarrocha-Diago M, Peñarrocha-Diago M. Ostectomy versus osteotomy with repositioning of the vestibular cortical in periapical surgery of mandibular molars: a preliminary study. Med Oral Patol Oral Cir Bucal. 2010 Jul 1;15(4):e628-32.
- Martí-Bowen E, Peñarrocha-Diago M, García-Mira B. Periapical surgery using the ultrasound technique and silver amalgam retrograde filling. A study of 71 teeth with 100 canals. Med Oral Patol Oral Cir Bucal. 2005 Apr 1;10 Suppl1:E67-73.
Pide tu valoración para una cirugía periapical en Valencia
En la clínica IDIM, dirigida por los Dres. Peñarrocha, te ofrecemos una valoración personalizada para determinar la mejor opción en tu caso. Apostamos por tratamientos conservadores siempre que sea posible, priorizando la salud y la conservación de tus dientes.
Para pedir cita pacientes
Para pedir información referidos
Contacte con nosotros
¿Buscas un especialista en cirugía periapical en Valencia? A través de este formulario, podrá ponerse en contacto con nosotros.