Implantes angulados en Valencia

Los implantes angulados han revolucionado la implantología al permitir la colocación de implantes en pacientes con pérdida ósea severa, evitando en muchos casos la necesidad de injertos óseos. Gracias a su inclinación estratégica, se logra un anclaje óptimo en las zonas con mejor calidad ósea, ofreciendo estabilidad y funcionalidad a largo plazo.

Los Dres. Miguel Peñarrocha y David Peñarrocha Oltra, expertos en la colocación de implantes angulados en Valencia, han aplicado esta técnica en numerosos casos clínicos, optimizando la rehabilitación de pacientes con atrofias óseas y mejorando los protocolos para su colocación y éxito a largo plazo.

Contacte con nosotros

A través de este formulario, podrá ponerse en contacto con nosotros.
¿En qué podemos ayudarle?

Nombre
cajita check

¿Qué son los implantes angulados?

Los implantes angulados son implantes dentales que se colocan con una inclinación específica, generalmente entre 25 y 45 grados, en lugar de una posición completamente vertical. Esta técnica permite evitar estructuras anatómicas como el seno maxilar o el nervio dentario inferior, al mismo tiempo que maximiza la cantidad de hueso disponible para la fijación del implante.

Su uso es especialmente útil en rehabilitaciones completas, como los tratamientos All On Four y All-on-6, en los que los implantes posteriores se colocan con una inclinación controlada para ofrecer un mejor soporte a la prótesis fija.

implantes angulados en valencia diseno dres penarrocha cirugia e implantologia oral en valencia

¿Cuándo están indicados los implantes angulados?

Los implantes dentales angulados son una alternativa ideal en los siguientes casos:

  • Pacientes con atrofia ósea moderada o severa en el maxilar o la mandíbula.
  • Situaciones donde el seno maxilar está muy neumatizado, evitando la necesidad de elevarlo.
  • Pacientes con reabsorción ósea mandibular avanzada, esquivando el nervio dentario inferior.
  • Rehabilitación de arcadas completas con carga inmediata, como en los protocolos All-on-4 o All-on-6.
  • Pacientes que buscan un tratamiento menos invasivo y con menor tiempo de recuperación.

Ventajas de los implantes angulados

 

Estas son las principales ventajas de colocar implantes angulados:

  • Evita injerto de hueso en muchos casos, reduciendo la complejidad y el tiempo de tratamiento.
  • Mejor estabilidad y distribución de cargas, al anclar los implantes en zonas de mayor densidad ósea.
  • Permite la carga inmediata, en muchos casos el paciente recibe su prótesis provisional el mismo día de la cirugía.
  • Reduce la invasividad quirúrgica, evitando procedimientos adicionales como la regeneración ósea guiada.
  • Mayor éxito a largo plazo, con tasas de osteointegración similares o superiores a los implantes convencionales.

Cómo colocamos los implantes angulados en Valencia

La colocación de implantes de angulo mandibular sigue un protocolo específico para garantizar su estabilidad y función:

1. Evaluación y planificación digital

  • Se realiza un estudio radiológico con CBCT para analizar la calidad y cantidad de hueso disponible.
  • Se determina la inclinación óptima de los implantes para maximizar el anclaje en hueso cortical y evitar estructuras anatómicas sensibles.

2. Cirugía guiada o convencional

  • Se colocan los implantes siguiendo la planificación digital y, en muchos casos, con guías quirúrgicas.
  • Se utilizan pilares angulados para corregir la inclinación y permitir una prótesis estable y funcional.

3. Carga inmediata o diferida

  • En muchos casos, si los implantes logran una buena estabilidad primaria, se puede colocar una prótesis provisional fija inmediata.
  • En otros casos, se espera un periodo de 3 meses para la osteointegración antes de colocar la prótesis definitiva.
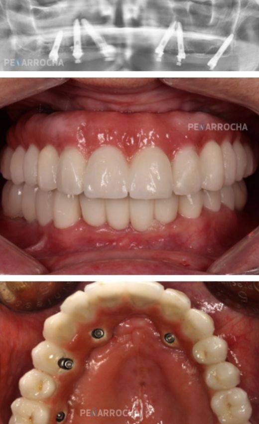
implantes angulados en valencia caso real resultados dres penarrocha cirugia e implantologia oral en valencia

Implantes angulados vs. implantes convencionales

Los implantes dentales angulados han demostrado ser una alternativa eficaz a los implantes convencionales, especialmente en pacientes con atrofia ósea.

Característica Implantes angulados Implantes convencionales
Necesidad de injerto óseo En muchos casos, no es necesario Puede ser necesario en atrofias óseas severas
Ubicación Aprovecha mejor el hueso remanente Requiere una altura ósea suficiente
Estabilidad Alta, gracias a la inclinación estratégica Alta, pero depende del volumen óseo disponible
Tiempo de tratamiento Más corto, permite carga inmediata en muchos casos Puede ser más largo si requiere regeneración ósea

Preguntas frecuentes sobre implantes angulados

Sí, numerosos estudios han demostrado que los implantes angulados tienen tasas de éxito similares o superiores a los implantes colocados en posición recta.

No. La cirugía se realiza con anestesia local y, en algunos casos, con sedación. El postoperatorio es similar al de los implantes convencionales.

El tiempo de osteointegración es el mismo que en un implante convencional, entre 3 y 6 meses, aunque en muchos casos se puede realizar carga inmediata.

Depende de la cantidad y calidad del hueso disponible. Un estudio con CBCT es esencial para determinar si esta técnica es viable en cada caso.

Los estudios realizados por los Dres. Peñarrocha y otros especialistas han demostrado tasas de éxito superiores al 95 %, siempre que se sigan los protocolos adecuados.

El precio de los implantes angulados no es fijo, ya que depende de factores como la cantidad y calidad del hueso y la complejidad del caso. Por ello, en Dres. Peñarrocha siempre realizamos una valoración personalizada en la primera visita y elaboramos un presupuesto adaptado al caso de cada paciente.

¡Reserva la primera visita para tus implantes angulados en Valencia!

Los Dres. Miguel y David Peñarrocha, con su experiencia en implantología avanzada, han perfeccionado la técnica de implantes angulados para ofrecer soluciones predecibles y exitosas a sus pacientes.

Si tienes pérdida ósea y necesitas una rehabilitación con implantes angulados en Valencia, consulta con nuestros especialistas en cirugía bucal para evaluar si el tratamiento es la mejor opción para tu caso.

Para pedir cita pacientes

963 344 675

Para pedir información referidos

686 975 235

Contacte con nosotros

¿Buscas un especialista en implantes angulados en Valencia? A través de este formulario, podrá ponerse en contacto con nosotros.

Nombre
cajita check
Scroll al inicio
logo clinica
Resumen de privacidad

Esta web utiliza cookies para que podamos ofrecerte la mejor experiencia de usuario posible. La información de las cookies se almacena en tu navegador y realiza funciones tales como reconocerte cuando vuelves a nuestra web o ayudar a nuestro equipo a comprender qué secciones de la web encuentras más interesantes y útiles.

Más información en nuestra Política de Privacidad.