Extracción de muelas del juicio en Valencia
La extracción de muelas del juicio, también llamada extracción de dientes incluidos, es un procedimiento quirúrgico habitual que permite resolver problemas de espacio, dolor e infecciones asociados a la erupción inadecuada de los terceros molares.
Los Dres. Miguel y David Peñarrocha, especialistas en cirugía bucal e implantología, han desarrollado protocolos para una extracción segura, minimizando las complicaciones y mejorando la recuperación de los pacientes.
Contacte con nosotros
¿Buscas un especialista en la extracción de muelas del juicio en Valencia? A través de este formulario, podrá ponerse en contacto con nosotros.
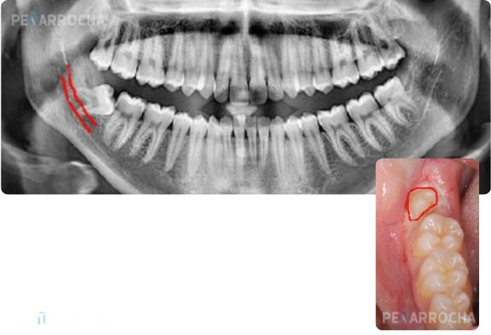
¿En qué consiste una extracción de muelas del juicio?
La extracción de muelas del juicio se trata de una intervención quirúrgica que elimina uno o más terceros molares cuando no pueden erupcionar correctamente. Se conoce también como cirugía de cordales y suele ocurrir por falta de espacio en la mandíbula, lo que favorece la retención del diente, posibles infecciones o lesiones en dientes adyacentes.
Estos dientes suelen aparecer entre los 17 y 25 años, y si no lo hacen de forma correcta, pueden quedar parcialmente expuestos, facilitando la acumulación bacteriana y aumentando el riesgo de pericoronaritis e infecciones crónicas.
¿Cuándo está indicada la cirugía de cordales?
- Dolor persistente y presión en la mandíbula.
- Infecciones recurrentes o pericoronaritis.
- Crecimiento en ángulo o impactación.
- Caries o enfermedad periodontal asociada.
- Formación de quistes o reabsorciones óseas.
La evaluación se realiza mediante una exploración clínica y una ortopantomografía o TAC para conocer la relación del molar con estructuras vecinas, como el nervio dentario inferior.
Beneficios de la extracción de dientes incluidos
- Prevención de infecciones y quistes.
- Reducción de dolor y presión mandibular.
- Mejora la higiene oral al eliminar zonas de difícil acceso.
- Evita el desplazamiento de los dientes vecinos.
Procedimiento quirúrgico
La extracción de muelas del juicio suele realizarse con anestesia local o sedación consciente. En casos con riesgo de lesión nerviosa, puede optarse por una coronectomía, extrayendo solo la corona y dejando parte de la raíz integrada en el hueso.
El procedimiento tiene una duración media de 30-60 minutos, es ambulatorio y se compone de los siguientes pasos:
- Anestesia local o sedación consciente.
- Incisión y acceso al diente.
- Fragmentación si es necesario.
- Extracción controlada.
- Sutura y revisión postoperatoria.
Recuperación y cuidados
La recuperación completa suele producirse en una o dos semanas. Es importante seguir las recomendaciones postoperatorias:
- Aplicar frío local en las primeras 24-48 h.
- No enjuagar con fuerza ni escupir los primeros días.
- Mantener la cabeza elevada al dormir.
- Seguir la pauta de analgésicos y antiinflamatorios indicada.
- Alimentación fría y blanda durante los primeros días.
- Cepillado suave y enjuagues con clorhexidina al 0,12%.
Posibles complicaciones tras extraer las muelas del juicio
Las complicaciones son poco frecuentes si se siguen las indicaciones médicas.
Las más habituales son:
Las complicaciones son poco frecuentes si se siguen las indicaciones médicas. Las más habituales son:
- Infección, en hasta el 5% de los casos.
- Alveolitis seca, si se pierde el coágulo.
- Lesión transitoria del nervio dentario inferior (muy infrecuente).
- Inflamación o trismo durante los primeros días.
La coronectomía es una técnica eficaz para prevenir daños nerviosos, en casos de proximidad del cordal con el nervio mandibular.
Experiencia de los Dres. Peñarrocha en la extracción de muelas del juicio en Valencia
Los Dres. Peñarrocha han liderado estudios clínicos, metaanálisis y publicaciones sobre la extracción de terceros molares, desarrollando protocolos de cirugía poco traumática y segura, y formando a generaciones de especialistas en la Universitat de València.
La extracción de muelas del juicio es un procedimiento eficaz para evitar complicaciones futuras y mejorar la salud bucal. En manos de un equipo experto y con una técnica adecuada, el tratamiento es seguro y con excelente recuperación.
Solicita una consulta con los Dres. Peñarrocha para valorar tu caso con precisión y resolver tus dudas con confianza.
Preguntas frecuentes sobre la extracción de muelas del juicio
¿Duele la extracción de muelas del juicio?
No. Se realiza con anestesia local o sedación, sin dolor intraoperatorio.
¿Cuándo podré volver a mi rutina?
En 24-72 horas, según el caso. Se recomienda reposo el primer día.
¿Es necesario extraer todas las muelas del juicio?
No. Solo se extraen las que presenten riesgo clínico.
¿Es necesario tomar antiinflamatorios o antibióticos?
Ibuprofeno o dexketoprofeno pautados, y antibiótico si lo indica el especialista.
¿Cuál es el precio de la extracción de muelas del juicio en Valencia?
El precio de la extracción de las muelas del juicio, depende de cada caso. Factores como la posición del diente, si está incluido, el grado de complejidad o el tipo de abordaje influyen en el tratamiento adecuado.
Por eso, en nuestra clínica realizamos siempre una valoración individualizada para determinar el procedimiento más adecuado y ofrecer un presupuesto personalizado, transparente y sin compromiso.
NUESTRA EXPERIENCIA
Descubre nuestras publicaciones
Dirección de tesis doctorales
- Francisco de Asís Cardona Tortajada. “Estudio Clínico y Morfológico de los quistes paradentales y foliculares de la cavidad oral. A propósito de 89 casos”. Universidad de Valencia, Facultad de Medicina y Odontología. Año 1994. Calificación: “Apto cum laude”.
- Úrsula Sáez Cuesta. “Relación entre edad, sexo, tabaco, higiene oral y datos radiológicos con el dolor, inflamación y el trismo tras la extracción quirúrgica de 190 cordales inferiores”. Universidad de Valencia, Facultad de Medicina y Odontología. Año 1999. Calificación: “Apto cum laude”.
- Mª Dolores Marco Gil. “Estudio del postoperatorio tras la extracción de 200 molares impactados con relación al acto quirúrgico”. Universidad de Valencia, Facultad de Medicina y Odontología. Año 2005. Calificación: “Sobresaliente cum laude”.
Dirección de trabajos de investigación
- Úrsula Sáez Cuesta. “Estudio del postoperatorio tras la extracción de 100 terceros molares inferiores incluidos, en relación con el estudio preoperatorio”. Universidad de Valencia, Facultad de Medicina y Odontología, Año 1997. Calificación: Sobresaliente.
- Maria Dolores Marco Gil. “Estudio del postoperatorio tras la extracción de 100 terceros molares inferiores incluidos, en relación al acto quirúrgico”. Universidad de Valencia, Facultad de Medicina y Odontología, Año 1997. Calificación: Sobresaliente.
- Carolina Larrazábal Morón. “Relación del habito de fumar y la higiene oral en el postoperatorio en la extracción de 50 cordales mandibulares incluidos”. Universidad de Valencia, Facultad de Medicina y Odontología, Año 2004. Calificación: Sobresaliente.
- Carla Leandro Demarchi. Estudio de 163 pacientes con 198 caninos incluidos. Universidad de Valencia, Facultad de Medicina y Odontología. Año 2009. Calificación: Sobresaliente.
Libros
Peñarrocha M, ed. Cirugía Bucal. Valencia: Promolibro; 2000. (ISBN: 84-7986-352-8).
A. Referidos en el “Journal Citation Reports” (JCR)
- Planas E, Gay-Escoda C, Bagán JV, Santamaría J, Peñarrocha M, Donado M, Puerta JL, García J, Ruiz J, Ortiz P. Analgesic efficacy and tolerance of metamizol 1g and 2g after surgical removal of impacted lower third molar. Methods and Findings in Experimental Clin Pharmacol 1996;18: 61 suppl.
- Planas ME, Gay-Escoda C, Bagán JV, Santamaría J, Peñarrocha M, Donado M, Puerta JL, García J, Ruiz J, Ortiz P. Oral metamizol (1g and 2g) versus ibuprofen and placebo in the treatment of lower third molar surgery pain: randomised double-blind multi-c entre study. Eur J Clin Pharmacol 1998;53:405-9.
- Peñarrocha M, Sanchis JM, Sáez U, Gay-Escoda C, Bagán JV, Oral hygiene and postoperative pain after mandibular third molar surgery. Oral Surg Oral Med Oral Pathol Oral Radiol Endod 2001;92:260-4.
- García A, Grana P, Sanpedro F, Peñarrocha M, Rey JM. Does oral contraceptive use affect the incidence of complications after extraction of a mandibular third molar?. Br Dental J 2003;194:453-5.
- Sanchis JM, Sáez U, Peñarrocha M, Gay-Escoda C. Tetracycline compound placement to prevent dry socket: a postoperative study of 200 impacted mandibular third molars. J Oral Maxillofac Surg 2004;62:587-91.
- Peñarrocha M, Peñarrocha Mª, García B, Larrazábal C. Extraction of impacted upper canines with simultaneous implant placement. J Oral Maxillofac Surg 2007; 65(11):2336-9.
- Peñarrocha M, Gomez MD, García B, Bagán JV. Treatment of bone defects produced by lower molar extraction using ultrasound harvested autologous bone grafts. J Oral Maxillofac Surg 2008;66(1):189-192.
- Sanchis JM, Hernández S, Peñarrocha M. Flap repositioning versus conventional suturing in third molar surgery. Med Oral Patol Oral Cir Bucal 2008;13(2):e138-42.
- Peñarrocha M, Galán S, Peñarrocha MA. Vestibular bone window for the extraction of impacted lower third molars: technical note. Med Oral Patol Oral Cir Bucal 2008;13(8):508-10.
- García B, Boronat A, Larrazabal C, Peñarrocha MA, Peñarrocha M. Inmediate implants after the removal of maxillary impacted canines. A clinical series of 9 patients. Int J Oral Maxillofac Implants 2009;24(2):348-52.
- Larrazabal C, García B, Peñarrocha MA, Peñarrocha M. Influence of oral hygiene and smoking on pain and swelling surgical extraction of impacted mandibular third molar. J Oral Maxillofac Surg 2010;68(1):43-6.
- Aloy A, Garcia B, Larrazabal C, Peñarrocha M. Distal probing depth and attachment level of lower second molars following surgical extraction of lower third molars: A literature review. Med Oral Patol Oral Cir Bucal 2010;15(5):e755-9.
B. Artículos citados por la National Library of Medicine (PubMed).
- Sáez U, Sanchís JM, Peñarrocha M. Extracción de terceros molares inferiores incluidos, revisión bibliográfica. Avances Odontoestomatología 2001;17:73-88.
- Peñarrocha-Diago MA, Aloy-Prósper A, Peñarrocha-Oltra D, Peñarrocha-Diago M. Replantation of a maxillary second molar after removal of a third molar with a dentigerous cyst: Case report and 12-month follow-up. J Clin Exp Dent. 2014;6:185-8.
C. Artículos no indexados en bases de datos internacionales.
- Sáez U, Peñarrocha M, Sanchis JM, Mínguez JM, Bonet J. Migración de caninos mandibulares. RCOE 1998;3:59-63.
- Sanchis JM, Peñarrocha M, Guarinos J, Roca MJ, Gay-Escoda C. Quistes paradentales. Estudio clínico-patológico de 17 casos asociados a terceros molares mandibulares. Arch Odontoestomatol 1998;14:694-8.
- Dauder MD, Peñarrocha M, Sanchis JM. Estudio retrospectivo de dientes supernumerarios en 1013 pacientes. Anales Odontoestomatol 1998;3:127-9.
- Sáez U, Peñarrocha M, Sanchis JM, Gay-Escoda C. Estudio del postoperatorio de 100 terceros molares mandibulares incluidos, en relación a la edad, el sexo, el tabaco y la higiene bucal. RCOE 1999;4:471-5.
- Sáez U, Peñarrocha M, Sanchis JM, Estarelles R, Gay-Escoda C, Bagán JV. Estudio del postoperatorio tras la extracción quirúrgica de 190 terceros molares incluidos, en relación a variables radiológicas: A propósito de 190 casos. Arch Odontoestomatol 2000;16:248-54.
- Peñarrocha M, Sanchis JM, Sáez U, Gay-Escoda C, Bagán JV. Escala numérica de valoración de la dificultad quirúrgica en la extracción de 190 terceros molares mandibulares incluidos. Arch Odontoestomatol 2000;16:96-100.
- Peñarrocha M, Marco MD, Sanchis JM, Estarelles R, Gay-Escoda C, Bagán JV. Estudio del postoperatorio tras la extracción quirúrgica de 100 terceros molares inferiores impactados en relación a la dificultad del acto quirúrgico. Avances Odontoestomatol 2000;16:377-82.
- Peñarrocha M, Sáez U, Sanchis JM, Bagán JV, Gay-Escoda C. Estudio de las complicaciones postoperatorias tras la extracción quirúrgica de 190 terceros molares incluidos. Avances Odontoestomatol 2000;16:435-41.
D. Revisiones no indexadas en bases de datos internacionales.
- Sanchis JM, Peñarrocha M, Guarinos J. Cirugía bucal en pacientes de alto riesgo. Prevención, diagnóstico y tratamiento de los problemas hemorrágicos. Anales Odontoestomatol 1994;5:151-61.
- Quiñones MA, Peñarrocha M, Lloria E, Guarinos J. Trasplantes dentales: revisión de la literatura y meta-análisis. Rev Act Odontoestomatol Esp 1995;55:59-70.
- Quiñones A, Peñarrocha M, Sanchis JM. Reimplantes dentales: Revisión de la literatura. Rev Eur Odontoestomatol 1996;8:239-46.
- Peñarrocha MA, Peñarrocha M, García B. Terceros molares mandibulares, indicaciones de extracción y relación con el apiñamiento antero-inferior. Arch Odontoestomatol 2003;19:212-9.
- Peñarrocha MA, Peñarrocha M, Larrazábal C, Mínguez I. Dientes supernumerarios, consideraciones quirúrgicas y ortodóncicas. Arch Odontoestomatol 2003;19:263-72.
- Peñarrocha MA, Peñarrocha M, García B. Trasplantes dentales, una alternativa en tratamiento quirúrgico-ortodóncico de los dientes incluidos. Arch Odontoestomatol 2003;19:245-52.
- Peñarrocha MA, Peñarrocha M, Larrazábal C, García B. Caninos incluidos, consideraciones quirúrgicas y ortodóncicas. Arch Odontoestomatol 2003;5:336-46.
E. Cirugía Bucal en imágenes:
3.-Peñarrocha M. Extracción de premolar incluido mandibular con osteotomía “en ventana”. Medicina Oral 2000; 5: 287-9.
5.- Peñarrocha M. Extracción de dientes incluidos. Med Oral 2003; 8: 79.
- El Alami M, Viña-Almunia J, Gambini J, Mas-Bargues C, Siow RC, Peñarrocha M, Mann GE, Borrás C, Viña J. Activation of p38, p21, and NRF-2 mediates decreased proliferation of human dental pulp stem cells cultured under 21% O2. Stem Cell Reports. 2014 Oct 14;3(4):566-73.
- Peñarrocha-Oltra D, Ata-Ali J, Ata-Ali F, Peñarrocha-Diago MA, Peñarrocha M. Treatment of orofacial pain in patients with stylomandibular ligament syndrome (Ernest Syndrome). Neurologia. 2013 Jun;28(5):294-8.
- Carrillo C, Peñarrocha M, Peñarrocha M, Vera F, Peñarrocha D. Immunohistochemical study of Langerhans cells in periapical lesions: correlation with inflammatory cell infiltration and epithelial cell proliferation. Med Oral Patol Oral Cir Bucal. 2010 Mar 1;15(2):e335-9.
- Viña-Almunia J, Mas-Bargues C, Borras C, Gambini J, El Alami M, Sanz-Ros J, Peñarrocha M, Vina J. Influence of Partial O₂ Pressure on the Adhesion, Proliferation, and Osteogenic Differentiation of Human Dental Pulp Stem Cells on β-Tricalcium Phosphate Scaffold. Int J Oral Maxillofac Implants. 2017 November/December;32(6):1251–1256.
- Viña-Almunia J, Borras C, Gambini J, El Alamy M, Peñarrocha M, Viña J. Influence of different types of pulp treatment during isolation in the obtention of human dental pulp stem cells. Med Oral Patol Oral Cir Bucal. 2016 May 1;21(3):e374-9.
- Peñarrocha M, Bonet J, Mínguez JM, Bagán JV, Vera F, Mínguez I. Cherubism: a clinical, radiographic, and histopathologic comparison of 7 cases. J Oral Maxillofac Surg. 2006 Jun;64(6):924-30.
- Cervera-Espert J, Pérez-Martínez S, Cervera-Ballester J, Peñarrocha-Oltra D, Peñarrocha-Diago M. Coronectomy of impacted mandibular third molars: A meta-analysis and systematic review of the literature. Med Oral Patol Oral Cir Bucal. 2016 Jul 1;21(4):e505-13.
- Ata-Ali F, Ata-Ali J, Peñarrocha-Oltra D, Peñarrocha-Diago M. Prevalence, etiology, diagnosis, treatment and complications of supernumerary teeth. J Clin Exp Dent. 2014 Oct 1;6(4):e414-8.
- Peñarrocha-Diago M, Camps-Font O, Sánchez-Torres A, Figueiredo R, Sánchez-Garcés MA, Gay-Escoda C. Indications of the extraction of symptomatic impacted third molars. A systematic review. J Clin Exp Dent. 2021 Mar 1;13(3):e278-e286.
- Palma-Carrió C, García-Mira B, Larrazabal-Morón C, Peñarrocha-Diago M. Radiographic signs associated with inferior alveolar nerve damage following lower third molar extraction. Med Oral Patol Oral Cir Bucal. 2010 Nov 1;15(6):e886-90.
- Aloy-Prósper A, García-Mira B, Larrazabal-Morón C, Peñarrocha-Diago M. Distal probing depth and attachment level of lower second molars following surgical extraction of lower third molars: a literature review. Med Oral Patol Oral Cir Bucal. 2010 Sep 1;15(5):e755-9.
- Valenzuela-Mencia J, Serrera-Figallo MÁ, Torres-Lagares D, Machuca-Portillo G, Sánchez-Fernández E, Valmaseda-Castellón E, Peñarrocha-Diago M, Fernández-Mosteirín N, Somoza-Martin JM, Pérez-Jardón A, Chamorro-Petronacci CM, García-García A. Clinical practice guideline of the spanish society of oral surgery for oral surgery in patients with coagulation disorders. Med Oral Patol Oral Cir Bucal. 2024 Jan 1;29(1):e58-e66.
- Tarazona B, Tarazona-Álvarez P, Peñarrocha-Oltra D, Rojo-Moreno J, Peñarrocha-Diago M. Anxiety before extraction of impacted lower third molars. Med Oral Patol Oral Cir Bucal. 2015 Mar 1;20(2):e246-50.
- Sánchez-Palomino P, Sánchez-Cobo P, Rodriguez-Archilla A, González-Jaranay M, Moreu G, Calvo-Guirado JL, Peñarrocha-Diago M, Gómez-Moreno G. Dental extraction in patients receiving dual antiplatelet therapy. Med Oral Patol Oral Cir Bucal. 2015 Sep 1;20(5):e616-20.
- Sánchez-Garcés MÁ, Toledano-Serrabona J, Camps-Font O, Peñarrocha-Diago M, Sánchez-Torres A, Sanmartí-Garcia G, Vegas-Bustamante E, Figueiredo R, Valmaseda-Castellón E, Gay-Escoda C, Sociedad Española de Cirugía Bucal OB. Diagnosis and indications for the extraction of third molars – The SECIB clinical practice guideline. Med Oral Patol Oral Cir Bucal. 2024 Jul 1;29(4):e545-e551.
- Balaguer-Martí JC, Aloy-Prósper A, Peñarrocha-Oltra A, Peñarrocha-Diago M. Non surgical predicting factors for patient satisfaction after third molar surgery. Med Oral Patol Oral Cir Bucal. 2016 Mar 1;21(2):e201-5.
- Alonso-González R, Peñarrocha-Diago M, Peñarrocha-Oltra D, Aloy-Prósper A, Camacho-Alonso F, Peñarrocha-Diago M. Closure of oroantral communications with Bichat´s buccal fat pad. Level of patient satisfaction. J Clin Exp Dent. 2015 Feb 1;7(1):e28-33.
- González-Lemonnier S, Bovaira-Forner M, Peñarrocha-Diago D, Peñarrocha-Diago MA. Hemodynamic and ventilatory changes during implant surgery with intravenous conscious sedation. Med Oral Patol Oral Cir Bucal. 2011 Jul 1;16(4):e541-5.
- Peñarrocha-Oltra D, Ata-Ali J, Oltra-Moscardó MJ, Peñarrocha-Diago M, Peñarrocha M. Side effects and complications of intraosseous anesthesia and conventional oral anesthesia. Med Oral Patol Oral Cir Bucal. 2012 May 1;17(3):e430-4.
- Peñarrocha-Oltra D, Ata-Ali J, Oltra-Moscardó MJ, Peñarrocha-Diago MA, Peñarrocha M. Comparative study between manual injection intraosseous anesthesia and conventional oral anesthesia. Med Oral Patol Oral Cir Bucal. 2012 Mar 1;17(2):e233-5.
- Camacho-Alonso F, Tudela-Mulero MR, Peñarrocha-Oltra D, Peñarrocha-Diago M, Balaguer-Martí JC, Sánchez-Siles M. Salivary myeloperoxidase and malondialdehyde are increased in patients exhibiting an asymptomatic mandibular impacted third molar. Med Oral Patol Oral Cir Bucal. 2019 Jul 1;24(4):e537-e544.
- Bernabeu-Mira JC, Peñarrocha-Oltra D, Peñarrocha-Diago M. Coronectomy of impacted mandibular third molars: a clinical and radiological retrospective case series study with 2-9 years of follow-up. Med Oral Patol Oral Cir Bucal. 2024 Mar 1;29(2):e180-e186.
- Peñarrocha-Oltra D, Ata-Ali J, Ata-Ali F, Peñarrocha-Diago MA, Peñarrocha M. Treatment of orofacial pain in patients with stylomandibular ligament syndrome (Ernest Syndrome). Neurologia. 2013 Jun;28(5):294-8.
- Peñarrocha Diago M, Galán Gil S, Peñarrocha Diago M. Vestibular bone window for the extraction of impacted lower third molars: four case reports. Med Oral Patol Oral Cir Bucal. 2008 Aug 1;13(8):E508-10.
- Moore RA, Gay-Escoda C, Figueiredo R, Tóth-Bagi Z, Dietrich T, Milleri S, Torres-Lagares D, Hill CM, García-García A, Coulthard P, Wojtowicz A, Matenko D, Peñarrocha-Diago M, Cuadripani S, Pizà-Vallespir B, Guerrero-Bayón C, Bertolotti M, Contini MP, Scartoni S, Nizzardo A, Capriati A, Maggi CA. Dexketoprofen/tramadol: randomised double-blind trial and confirmation of empirical theory of combination analgesics in acute pain. J Headache Pain. 2015;16:541. doi: 10.1186/s10194-015-0541-5.
- Martínez González JM, Benito Peña B, Fernández Cáliz F, San Hipólito Marín L, Peñarrocha Diago M. A comparative study of direct mandibular nerve block and the Akinosi technique. Med Oral. 2003 Mar-Apr;8(2):143-9.
- Aloy-Prósper A, Pellicer-Chover H, Balaguer-Martínez J, Llamas-Monteagudo O, Peñarrocha-Diago M. Patient compliance to postoperative instructions after third molar surgery comparing traditional verbally and written form versus the effect of a postoperative phone call follow-up a: A randomized clinical study. J Clin Exp Dent. 2020 Oct 1;12(10):e909-e915.
- Tarazona-Álvarez P, Pellicer-Chover H, Tarazona-Álvarez B, Peñarrocha-Oltra D, Peñarrocha-Diago M. Hemodynamic variations and anxiety during the surgical extraction of impacted lower third molars. J Clin Exp Dent. 2019 Jan 1;11(1):e27-e32.
- Peñarrocha-Diago M, Alonso-González R, Aloy-Prósper A, Peñarrocha-Oltra D, Camacho F, Peñarrocha-Diago M. Use of buccal fat pad to repair post-extraction peri-implant bone defects in the posterior maxilla. A preliminary prospective study. Med Oral Patol Oral Cir Bucal. 2015 Nov 1;20(6):e699-706.
- Pellicer-Chover H, Cervera-Ballester J, Sanchis-Bielsa JM, Peñarrocha-Diago MA, Peñarrocha-Diago M, García-Mira B. Comparative split-mouth study of the anesthetic efficacy of 4% articaine versus 0.5% bupivacaine in impacted mandibular third molar extraction. J Clin Exp Dent. 2013 Apr 1;5(2):e66-71.
- Peñarrocha-Diago MA, Aloy-Prósper A, Peñarrocha-Oltra D, Peñarrocha-Diago M. Replantation of a maxillary second molar after removal of a third molar with a dentigerous cyst: Case report and 12-month follow-up. J Clin Exp Dent. 2014 Apr 1;6(2):e185-8.
- Tarazona-Álvarez P, Romero-Millán J, Peñarrocha-Oltra D, Fuster-Torres MÁ, Tarazona B, Peñarrocha-Diago M. Comparative study of mandibular linear measurements obtained by cone beam computed tomography and digital calipers. J Clin Exp Dent. 2014 Jul 1;6(3):e271-4.
Solicita valoración para tu extracción de muelas del juicio en Valencia
En la clínica IDIM, dirigida por los Dres. Peñarrocha, somos especialistas en cordales en Valencia y te ofrecemos una valoración personalizada para determinar la mejor opción en tu caso. Siempre apostamos por tratamientos conservadores, priorizando la salud y la conservación de tus dientes.
Para pedir cita pacientes
Para pedir información referidos
Contacte con nosotros
¿Buscas un especialista en la extracción de muelas del juicio en Valencia? A través de este formulario, podrá ponerse en contacto con nosotros.